
CARE & CURE DENTAL CLINIC AND IMPLANT CENTER
One Point destination for all Oral Problems
SERVICES
Personalized Care and Guidance

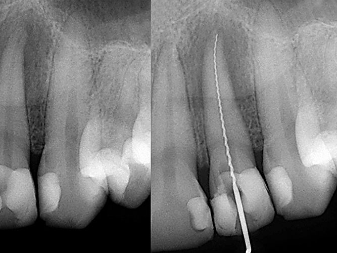
ROOT CANAL TREATMENT
Treatment includes removal of infected pulp and cleaning of root canal along with all digital radiography wherever needed. Treatment will be carried in a well sterilized environment with preferably endoradar and high ends endo instruments.

SMILE DESIGNING
Smile designing if needed will be done either by using veneers , Zirconia bridge or orthodontic treatment or a combination of either of the above mentioned. The treatment cost will depend on the number of the teeth involved.

DENTAL IMPLANTS
Dental Implants are required to restore either a single missing tooth or for placement of bridge and implant supported hybrid denture. Dental implants can range from 15000 to 25000 as per the nature, quality and years of guarantee cover.

EXTRACTION OF INFECTED TOOTH
Extraction of infected tooth will be carried under local anesthesia. Patient is asked to take medicine prior to extraction if needed. Extraction cost range from 300-800 Rs for all teeth except for wisdom tooth . Impacted tooth(wisdom tooth) extraction can cost in between 1500-4500 Rs according to radio-graphic finding.

ORAL PROPHYLAXIS( SCALING AND ROOT PLANING)
Oral prophylaxis will be done in single or more then one sitting as per the case requirement along with root planning and polishing. Periodontal problem ,halitosis and bleeding gums problem will be treated by this process.

RESTORATION OF DECAYED TOOTH
Restoration of decayed tooth will be performed either by glass ionomer cement(GIC) or composite as per the case requirement. GIC will cost about 500 rs . Composite will cost about 800 Rs for single tooth restoration.

ORTHODONTIC TREATMENT
Orthodontic treatment will straighten the teeth or move them into a better position. This can improve the appearance and the way the teeth bite together, while also making them easier to clean.
MEDIA CENTER
There’s a reason why Dr Asif's Care & Cure Dental Clinic is known as the #1 Dental Clinic in the Ranchi area, and part of it has to do with maintaining a relationship with our patients and the wider community. Whether you’re looking for tips on how to stay healthy, or want to learn about the latest industry trends, our news center is always accessible and regularly updated to include the most relevant information. Read more today.

A LOOK AT THE INDUSTRY’S LATEST MEDICAL TECHNOLOGIES

LOCAL MEDICAL CLINIC ADMINISTERS THOUSANDS OF FLU SHOTS

TOP 7 HEALTH TIPS OF THE SEASON
June, 10, 2023
June, 10, 2023
June, 10, 2023
OPENING HOURS
Come Visit
Mon - Sat: 9:30 am - 8:30 pm
Sun: Closed












